原標題:屋塵螨作為對細菌抗原的IgE敏感性的潛在攜帶者
——來自浙大迪迅
革蘭氏陽性和革蘭陰性菌抗原的IgE反應性在呼吸和皮膚過敏的患者中很常見,但其致敏途徑和機制尚不完全清楚。對室內塵螨(HDM)基因組、轉錄組和微生物群的分析表明,金黃色葡萄球菌(S.金葡菌)和大腸埃希菌(E.coli)是HDM菌群中豐富的細菌。因此,我們的目的是研究HDM是否是導致特應性皮炎患者IgE致敏的細菌抗原攜帶者。
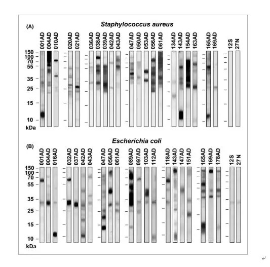
用IgE免疫印跡法對179例AD患者血漿標本進行微量屋塵螨變應原分子及金黃色葡萄球菌和大腸桿菌抗原的IgE反應性分析。檢測金黃色葡萄球菌和大腸桿菌抗原特異性抗體與印跡在硝酸纖維素膜上的來自純化的屋塵螨個體的提取液的反應性,并通過IgE免疫印跡抑制實驗檢測IgE-反應抗原。針對屋塵螨中細菌抗原的IgE抗體通過 IgE ImmunoCAP?抑制試驗來定量。
相比于對屋塵螨不敏感的特應性皮炎病人,對屋塵螨敏感的特應性皮炎病人中對細菌抗原有IgE反應性的病人明顯要多。在HDM提取物的免疫印跡中檢測到金黃色葡萄球菌和大腸桿菌的抗原,IgE反應性抗原在HDM中的存在是通過定性和定量相結合的IgE抑制實驗證明的。
屋塵螨(HDM)可作為細菌的載體,誘導IgE對微生物抗原的敏感性。
延伸閱讀
Allergy
[IF:6.048]
House dust as potential carriers for IgE sensitization to bacterial antigens
https://doi.org/10.1111/all.13260
Abstract
Background
IgE reactivity to antigens from Gram‐positive and Gram‐negative bacteria is common in patients suffering from respiratory and skin manifestations of allergy, but the routes and mechanisms of sensitization are not fully understood. The analysis of the genome, transcriptome and microbiome of house dust mites (HDM) has shown that Staphylococcus aureus (S. aureus) and Escherichia coli (E. coli) species are abundant bacteria within the HDM microbiome. Therefore, our aim was to investigate whether HDM are carriers of bacterial antigens leading to IgE sensitization in patients suffering from atopic dermatitis.
Methods
Plasma samples from patients with AD (n = 179) were analysed for IgE reactivity to a comprehensive panel of microarrayed HDM allergen molecules and to S. aureus and E. coli by IgE immunoblotting. Antibodies specific for S. aureus and E. coli antigens were tested for reactivity to nitrocellulose‐blotted extract from purified HDM bodies, and the IgE‐reactive antigens were detected by IgE immunoblot inhibition experiments. IgE antibodies directed to bacterial antigens in HDM were quantified by IgE ImmunoCAP? inhibition experiments.
Results
IgE reactivity to bacterial antigens was significantly more frequent in patients with AD sensitized to HDM than in AD patients without HDM sensitization. S. aureus and E. coli antigens were detected in immune‐blotted HDM extract, and the presence of IgE‐reactive antigens in HDM was demonstrated by qualitative and quantitative IgE inhibition experiments.
Conclusion
House dust mites (HDM) may serve as carriers of bacteria responsible for the induction of IgE sensitization to microbial antigens.
Author
S. DzoroI. MittermannY. Resch‐MaratS. VrtalaM. NehrA. M. HirschlG. WikbergL. LundebergC. JohanssonA. Scheynius
2018-10-31 Article
創(chuàng)建過敏性疾病的科研、科普知識交流平臺,為過敏患者提供專業(yè)診斷、治療、預防的共享平臺。